Subscribe free to our newsletters via your
. 24/7 Space News .




WATER WORLD
A mile deep, ocean fish facing health impacts from human pollution
by Staff Writers
Corvallis OR (SPX) Mar 27, 2015


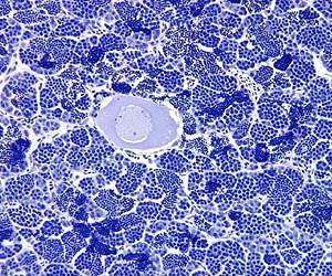
The testicle from a male trout which contains a developing egg is an example of "intersex" conditions that can result from pollution. Image courtesy Oregon State University.

Deep-water marine fish living on the continental slopes at depths from 2,000 feet to one mile have liver pathologies, tumors and other health problems that may be linked to human-caused pollution, one of the first studies of its type has found.

The research, conducted in the Bay of Biscay west of France, also discovered the first case of a deep water fish species with an "intersex" condition, a blend of male and female sex organs. The sampling was done in an area with no apparent point-source pollution, and appears to reflect general ocean conditions.

The findings have been published in Marine Environmental Research, by scientists from Oregon State University; the Centre for Environment, Fisheries and Aquaculture Science in the United Kingdom; and other agencies. It was supported by the European Union.

The research is of particular interest, OSU researchers said, when contrasted to other studies done several years ago in national parks of the American West, which also found significant pollution and fish health impacts, including male fish that had been "feminized" and developed eggs.

"In areas ranging from pristine, high mountain lakes of the United States to ocean waters off the coasts of France and Spain, we've now found evidence of possible human-caused pollution that's bad enough to have pathological impacts on fish," said Michael Kent, a professor of microbiology in the OSU College of Science, co-author on both these research projects and an international expert on fish disease.

"Deep in the ocean one might have thought that the level of contamination and its biological impact would be less," Kent said. "That may not be the case. The pathological changes we're seeing are clearly the type associated with exposure to toxins and carcinogens."

However, linking these changes in the deep water fish to pollution is preliminary at this time, the researchers said, because these same changes may also be caused by naturally-occurring compounds. Follow up chemical analyses would provide more conclusive links with the pathological changes and man's activity, they said.

Few, if any health surveys of this type have been done on the fish living on the continental slopes, the researchers said. Most past studies have looked only at their parasite fauna, not more internal biological problems such as liver damage. The issues are important, however, since there's growing interest in these areas as a fisheries resource, as other fisheries on the shallower continental shelf become depleted.

As the sea deepens along these continental slopes, it's been known that it can act as a sink for heavy metal contaminants such as mercury, cadmium and lead, and organic contaminants such as PCBs and pesticides. Some of the "intersex" fish that have been discovered elsewhere are also believed to have mutated sex organs caused by "endocrine disrupting chemicals" that can mimic estrogens.

In this study, the health concerns identified were found in black scabbardfish, orange roughy, greater forkbeard and other less-well-known species, and included a wide range of degenerative and inflammatory lesions that indicate a host response to pathogens, as well as natural cell turnover. The fish that live in these deep water, sloping regions usually grow slowly, live near the seafloor, and mature at a relatively old age. Some can live to be 100 years old.

Partly because of that longevity, the fish have the capacity to bioaccumulate toxicants, which the researchers said in their report "may be a significant human health issue if those species are destined for human consumption." Organic pollutants in such species may be 10-17 times higher than those found in fish from the continental shelf, the study noted, with the highest level of contaminants in the deepest-dwelling fish.

However, most of those contaminants migrate to the liver and gonads of such fish, which would make their muscle tissue comparatively less toxic, and "generally not high enough for human health concern," the researchers wrote.

The corresponding author on this study was Stephen Feist at the Centre for Environment, Fisheries and Aquaculture Science in Weymouth, England.

In the previous research done in the American West, scientists found toxic contamination from pesticides, the burning of fossil fuels, agriculture, industrial operations and other sources, which primarily found their way into high mountain lakes through air pollution. Pesticide pollution, in particular, was pervasive.

Together, the two studies suggest that fish from some of the most remote parts of the planet, from high mountains to deep ocean, may be impacted by toxicants, Kent said.


Thanks for being here;
We need your help. The SpaceDaily news network continues to grow but revenues have never been harder to maintain.

With the rise of Ad Blockers, and Facebook - our traditional revenue sources via quality network advertising continues to decline. And unlike so many other news sites, we don't have a paywall - with those annoying usernames and passwords.

Our news coverage takes time and effort to publish 365 days a year.

If you find our news sites informative and useful then please consider becoming a regular supporter or for now make a one off contribution.
SpaceDaily Contributor
$5 Billed Once


credit card or paypal
SpaceDaily Monthly Supporter
$5 Billed Monthly


paypal only


.


Related Links
Oregon State University
Water News - Science, Technology and Politics






Comment on this article via your Facebook, Yahoo, AOL, Hotmail login.

Share this article via these popular social media networks
del.icio.usdel.icio.us DiggDigg RedditReddit GoogleGoogle




Memory Foam Mattress Review
Newsletters :: SpaceDaily :: SpaceWar :: TerraDaily :: Energy Daily
XML Feeds :: Space News :: Earth News :: War News :: Solar Energy News





WATER WORLD
Color-morphing reef fish is a 'wolf in sheep's clothing'
Cambridge, UK (SPX) Mar 23, 2015
A new study has shown that the dottyback, a small predatory reef fish, can change the colour of its body to imitate a variety of other reef fish species, allowing the dottyback to sneak up undetected and eat their young. The dottyback also uses its colour-changing abilities to hide from larger predators by colour-matching to the background of its habitat - disappearing into the scenery. ... read more


WATER WORLD
Extent of Moon's giant volcanic eruption is revealed

Yutu Changes Everything We Thought We Knew About Our Moon

Extent of moon's giant volcanic eruption is revealed

NASA's LRO Spacecraft Finds March 17, 2013 Impact Crater and More

WATER WORLD
Mars One's CEO Bas Lansdorp answers questions about mission feasibility

Could Water Have Carved Channels On Mars Half A Million Years Ago?

MARSDROP Microprobes Could Expand Spacecraft Mission Capabilities

NASA Spacecraft Detects Aurora and Mysterious Dust Cloud around Mars

WATER WORLD
Small Staff has Big Impact Showing How NASA Can Engage Students

TED Prize winner wishes for archive of human wisdom

The Science Of The Start-Up

From cancer-battling bacteria to life on Mars at TED

WATER WORLD
China's Yutu rover reveals Moon's "complex" geological history

China's Space Laboratory Still Cloaked

China has ability but no plan for manned lunar mission: expert

Tianzhou-1 cargo ship to dock with space lab in 2016

WATER WORLD
One-Year Crew Set for Launch to Space Station

Russia, US May Sign New Deal to Send Astronauts to ISS

Lockheed Martin reveals new method for resupplying space station

Testing astronauts' lungs in Space Station airlock

WATER WORLD
Soyuz Installed at Baikonur, Expected to Launch Wednesday

Kosmotras Denies Reports of Suspending Russian-Ukrainian Launches

NASA Awards Launch Services Contract for Solar Probe Plus Mission

Payload integration is underway for Soyuz' Galileo passengers

WATER WORLD
Our Solar System May Have Once Harbored Super-Earths

SOFIA Finds Missing Link Between Supernovae and Planet Formation

ESA's CHEOPS Satellite: The Pharaoh of Exoplanet Hunting

Some habitable exoplanets could experience wildly unpredictable climates

WATER WORLD
Want to snag a satellite? Try a net

Slight surface movements on the radar

Processing Paradigms That Accelerate Computer Simulations

Spacecraft Power Systems




The content herein, unless otherwise known to be public domain, are Copyright 1995-2014 - Space Media Network. All websites are published in Australia and are solely subject to Australian law and governed by Fair Use principals for news reporting and research purposes. AFP, UPI and IANS news wire stories are copyright Agence France-Presse, United Press International and Indo-Asia News Service. ESA news reports are copyright European Space Agency. All NASA sourced material is public domain. Additional copyrights may apply in whole or part to other bona fide parties. Advertising does not imply endorsement, agreement or approval of any opinions, statements or information provided by Space Media Network on any Web page published or hosted by Space Media Network. Privacy Statement All images and articles appearing on Space Media Network have been edited or digitally altered in some way. Any requests to remove copyright material will be acted upon in a timely and appropriate manner. Any attempt to extort money from Space Media Network will be ignored and reported to Australian Law Enforcement Agencies as a potential case of financial fraud involving the use of a telephonic carriage device or postal service.