. 24/7 Space News .
EPIDEMICS
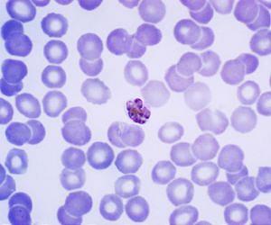
700 dead as malaria 'epidemic' hits Burundi
by Staff Writers
Nairobi (AFP) March 14, 2017


About 700 people have died from malaria in Burundi so far this year, the health minister said, with the authorities having registered 1.8 million infections in a rising epidemic.

"Burundi faces a malaria epidemic," Josiane Nijimbere said Monday, commenting on a World Health Organization (WHO) report.

From January 1 to March 10 this year, 1.8 million infections were registered in Burundi, according to the WHO.

According to Nijimbere, the latest figures constitute a 17 percent increase from the same period last year.

"Some 700 deaths" have been registered since January, the minister added.

In 2016, an estimated 8.2 million people were infected and 3,000 people died in mountainous Burundi, which is home to around 11 million people.

UN officials and medical sources say Burundi's stock of anti-malaria medication is nearly empty.

Nijimbere put the cost of fighting malaria at $31 million (29 million euros), as she appealed for donations to help fight the disease.

She attributed the rise in infections to climate change, increased marshland for rice-growing and the population's misuse of mosquito nets.

Burundi has been plunged into chaos since President Pierre Nkurunziza's controversial decision in April 2015 to run for a third term.

Hundreds of people have been killed and hundreds of thousands of others have fled the country.

The crisis also led to a 54 percent cut to the government's health budget in 2016 from the previous year.

"This malaria crisis is even more dramatic because it is striking an impoverished, hungry population that has no resources and for whom even the slightest shock can have life-or-death consequences," a diplomat told AFP on condition of anonymity.

EPIDEMICS
Paris mayor to spend 1.5 million euros for 'war on rats'
Paris (AFP) March 12, 2017
The mayor of Paris said Sunday the city would spend 1.5 million euros ($1.6 million) to rid the French capital of rats and install more public ashtrays to clean up the city's streets. In an interview with Journal du Dimanche weekly, Mayor Anne Hidalgo unveiled a 10-point plan aimed at making cleanliness a "priority". The measures include increasing the number of sanitation workers and he ... read more

Related Links
Epidemics on Earth - Bird Flu, HIV/AIDS, Ebola


Thanks for being here;
We need your help. The SpaceDaily news network continues to grow but revenues have never been harder to maintain.

With the rise of Ad Blockers, and Facebook - our traditional revenue sources via quality network advertising continues to decline. And unlike so many other news sites, we don't have a paywall - with those annoying usernames and passwords.

Our news coverage takes time and effort to publish 365 days a year.

If you find our news sites informative and useful then please consider becoming a regular supporter or for now make a one off contribution.
SpaceDaily Contributor
$5 Billed Once


credit card or paypal
SpaceDaily Monthly Supporter
$5 Billed Monthly


paypal only


Comment on this article using your Disqus, Facebook, Google or Twitter login.

Share this article via these popular social media networks
del.icio.usdel.icio.us DiggDigg RedditReddit GoogleGoogle

EPIDEMICS
New Plant Habitat Will Increase Harvest on International Space Station

NASA Releases Free Software Catalog

India has capability to develop space station, says top official

Orion spacecraft achieves key safety milestone

EPIDEMICS
Space squadron supports record-breaking satellites launch

Europe launches fourth Earth monitoring satellite

Elon Musk: tech dreamer reaching for sun, moon and stars

Blue Origin shares video of New Glenn rocket

EPIDEMICS
New evidence for a water-rich history on Mars

Humans May Quickly Evolve on Mars, Biologist Claims

NASA Orbiter Steers Clear of Mars Moon Phobos

Remnants of a mega-flood on Mars

EPIDEMICS
Riding an asteroid: China's next space goal

China launches experiment satellite "TK-1"

China Plans to Launch 1st Probe to Mars in Summer 2020

China to launch space station core module in 2018

EPIDEMICS
How low can you go? New project to bring satellites nearer to Earth

Teal Group Pegs Value of Space Payloads Through 2036 at Over $250 Billion

Iridium Safety Voice Communications Installs Surge Past 500 Aircraft

Eutelsat Signs up for Blue Origin's New Glenn Launcher

EPIDEMICS
MIPT physicists predict the existence of unusual optical composites

Sandia creates 3-D metasurfaces with optical possibilities

First exact model for diffusion in magnesium alloys

New application of the selective laser melting method

EPIDEMICS
Kepler Provides Another Peek at Ultra-cool Neighbor

Hunting for giant planet analogs in our own backyard

Faraway Planet Systems Are Shaped Like the Solar System

Biochemical 'fossil' shows how life may have emerged without phosphate

EPIDEMICS
Juno to remain in current orbit at Jupiter

Europa Flyby Mission Moves into Design Phase

NASA receives science report on Europa lander concept

New Horizons Refines Course for Next Flyby







The content herein, unless otherwise known to be public domain, are Copyright 1995-2026 - SpaceDaily. All websites are published in Australia and are solely subject to Australian law and governed by Fair Use principals for news reporting and research purposes. By using our websites you consent to cookie based advertising. If you do not agree with this then you must stop using the websites from May 25, 2018. Privacy Statement. Additional information can be found here at About Us.